Helse

Etableringen av industri på Eydehavn fant sted etter et halvt århundre med en vekst uten sidestykke både i folketall og i levestandard. Folketallet i Norge økte med 60 prosent mellom 1850 og 1900, og bedre boforhold og sunnere ernæring bidro til en markert bedring av folkehelsen. Antall kvinner som døde i barselseng sank, og dødeligheten av epidemiske sykdommer som difteri ble nesten halvert. Den vanligste dødsårsaken nå var tuberkulose " den hvite pest " som var særlig skremmende fordi den rammet så mange unge voksne.

Fordi Eydehavn etter datidens standard ble regnet som et mønstersamfunn og et sosialdemokratisk "utstillingsvindu" for resten av landet, måtte det være vanskelig både for bedriftsledere og politikere å forholde seg til de helsetrusler i selve arbeidsmiljøet som etter hvert ble avdekket.

Oppfordringsplakat for bruk av vernebriller
"DNN-posten" som var et bedriftsorgan for DNN aluminum A/S Eydehavn Tyssedal og Oslo var i 1970-årene opptatt av Vernearbeidet i bedriftene.

Smelteverkets svøpe: Silikose

Sykdommen som ble den største og alvorligste utfordringen på Smelteverket, var silikosen, en kronisk lungesykdom forårsaket av langvarig innåndning av kiselsyreholdig støv. Det kan ta 10-12 år før sykdommen slår ut i kortpustethet. Sykdommen er uhelbredelig.

I 1930-årene hadde Arendal Smelteverks ledelse fått kjennskap til at denne sykdommen var blitt konstatert annet steds i landet. Bedriften engasjerte dr. Holter og dr. Ziesler til å forestå røntgenundersøkelser av arbeiderne, uten at silikose ble påvist. Men legene i 30-årene var lite kjent med denne yrkessykdommen. Dr. Andreas Samuelsen, distriktslege og formann i arbeidstilsynet, fortalte at hans eksamenskull (1935) var det første som ble undervist om støvlunger. Da det første klare tilfellet av silikose dukket opp i 1940, var det dr. Samuelsen som forlangte flere undersøkelser.

Portrett av Dr. Andreas Samuelsen
Dr. Andreas Samuelsen, distriktslege og formann i arbeidstilsynet © Stokken historielag

Bedriften nedsatte en legekommisjon. Arbeidstilsynets protokoll , ført i pennen av dr. Samuelsen, illustrerer at forholdet mellom ledelsen ved bedriften ikke var konfliktløst.

Mange tilfeller av silikose kom for dagen i 1941. Av ca. 175 arbeidere hadde 50 silikose, derav 19 med silikose i 3. grad og 2 med silikosetuberkulose.

Arbeidstilsyn, leger og ledelse var enige om at det skulle utføres støvanalyser i de forskjellige avdelingene i fabrikken, og i 1942 ble det utarbeidet legeråd for hver arbeider med silikose. Det kunne være omplassering eller pensjonsordning. Det ble forhandlet om bedring av støvforholdene og regelmessige legeundersøkelser samt røntgenundersøkelser av arbeidere som begynte ved bedriften. Dr. Samuelsen gjorde ledelsen oppmerksom på at kliniske undersøkelser var påkrevd.

Høsten 1945 holdt fagforeningen, Eydehavn Arbeiderforening, møter for å diskutere utspill fra fabrikken om å beholde  bare "friske" arbeidere ved støvfarlige avdelinger. Folk med nese- og halslidelser, samt folk med silikose av 1. grad skulle sies opp.  Bedriften skule sørge for nye arbeidsplasser eller betale erstatning når de ikke kunne arbeide lenger. Folk med sterkere grad av silikose tok bedriften ansvar for - de skulle plasseres på en tønnefabrikk og på støvfrie arbeidsplasser. I utgangspunktet ble dette betraktet som løftebrudd.

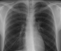
Røntgenbilde av en frisk lunge
Lunge uten silikose
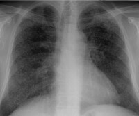
Røntgenbilde av en lunge med silikose
Lunge med silikose

Bedriftslege

I 1948 ansatte Arendal Smelteverk bedriftslege med 6 timers arbeidstid pr. uke, samt bedriftssykepleier og teknisk skolert "hygienekontrollør". I økende grad var begrepet helse blitt knyttet til arbeidsmiljø, og etter hvert ble miljøhygiene en like viktig del av bedriftshelsetjenesten som legeundersøkelser.

Den første oppgaven for bedriftslegen ble de yrkeshygieniske og medisinske problemene som hadde forbindelse med støveksposisjonen. I tillegg dukket et annet hygienisk problem opp, nemlig kullos / karbonmonoksyd. Senere ble andre arbeidsmiljøproblemer: larmskader og arbeidsulykker, tatt opp til systematisk undersøkelse.

Nye tilfeller av silikose

I årene 1945 - 50 ble 10 tilfeller av silikose påvist, fra 1951 til -59 fem tilfeller og i 1961 ett tilfelle. De fire siste silikose-angrepne hadde arbeidet i bedriften i over 30 år. Da bedriftslegen dr. Lid skrev sin 10-års beretning i 1978, rapporterte han om 0 tilfeller av tuberkulose-silikose og ett lett tilfelle av lungetuberkulose. (se også artikkelen "Da silikose ble påvist ved Arendal Smelteverk" av Aksel Ongre i Tidsskrift for den Norske Lægeforening 2006)

Detaljbilde av en frisk lunge
Lunge uten silikose (detalj)
Detaljbilde av en lunge med silikose
Lunge med silikose (detalj)

Torje Moland forteller om sin far:

" Før krigen var vi ikke klar over at det var silikose på fabrikken. Legen som var her - det var jo fabrikklege her på Smelteverket - var inne på at alt var så greitt og all right Smelteverket. Det var' kje no' sykdom der.

Far min døde tidlig, rett før han var 50 år - av silikose, det er heilt sikkert. En mann som aldri hadde vært sjuk i sitt liv, aldri - var'kje forkjølet en gang. Han snakka ikke noen ting, men så spurte doktor Holter om ikkje bakken hadde vært tung for han i den seinere tida. -Jo, han har det, sa far. Så kikka' n bort på mor, doktoren, og spurte: 'hvorfor har du ikkje varskodd meg før, så kunne me ha fått han inn på sanatorium.' n trodde det var tuberkulose han hadde.

Far hadde vært i ovnshusene. De hadde jernomn en gang der, han hadde vært med på både ferrosilicium- og sikaproduksjon. Men helst var det i Mølle I. Dei fikk silikose alle som var der. Det er kvartsen som er så farlig, og dei brukte mye kvarts.

[Det er vel ikke så mange som var der fra begynnelsen, som er blitt så gamle som du er blitt?]

Nei, det er mange som er døde i en ung alder. Men det var ingen som ante det var silikose. Og ingen forsto det, og ingen visste det. Men så ordna doktor Samuelsen opp i det. Og så kom det en lege fra Oslo, dr. Bruusgaard, og holdt foredrag om silikosen på Folkets Hus."

Støvproblemene

I ovnshuset var det mye røyk og finfordelt støv. I samarbeid med hygienekontrolløren ble det iverksatt systematiske støvundersøkelser, og i årene 1949 - 75 samlet man prøver. Den kjemiske analysen av støvprøvene viste store mengder kiselsyre (SiO2) og silisiumkarbid (SiC), og noe jernoksyd (Fe2O3).

I 1975 innførte smelteverket en ny metode for måling av støv , og fra 1975 til 1977 ble det foretatt 269 støvmålinger i samtlige avdelinger, også på arbeidsplasser hvor bruk av støvmasker var påbudt. Resultatene av målingene ble behandlet i miljøutvalget hvor de drøftet forebyggende forholdsregler. Tiltak som ble realisert var:

  1. Innebygging av støvende prosesser
  2. Reparasjon av støvlekkasjer
  3. Støvavsug lokalt (på støvende sted)
  4. Støvavsug generelt i arbeidslokalet
  5. Demping av støvutviklingen ved vanntilførsel
  6. Støvmaske hvor andre tiltak ikke har latt seg gjennomføre eller har sviktet

Kullosforgiftning

Høsten 1948 ble bedriftslegen tilkalt til ovnshuset, hvor en mann var blitt syk med hodepine, svimmelhet og forvirring. Med mistanke om CO-forgiftning ble blodprøver sendt inn til laboratorium og CO påvist. Fra dette året og gjennom de 29 årene dr. Lid var bedriftslege, var det denne miljøtrusselen mot arbeidsfolkas helse som opptok ham mest. Han sørget for at CO-innholdet i lufta ble kartlagt, og enkelte forebyggende tiltak ble foretatt. Men CO-problemet forble alvorlig utover i femtiårene og sekstiårene, og i 1961 ble det påbudt at arbeiderne skulle bruke friskluftmasker hvis luften inneholdt over 100 pm CO. Da man i syttiårene ble klar over en mulig sammenheng mellom hjerte- og karsykdommer og innhold av CO i blodet, tilrådde både Lid og Yrkeshygienisk institutt ytterligere innskjerpinger i kravene til arbeidsmiljøet i ovnshuset.

En undersøkelse som bedriftslegen satte i gang i 1975, skulle kartlegge CO-innholdet i lufta på arbeidsplassene og COHb-innholdet i blodet hos arbeiderne. De undersøkte ble også spurt om tobakksforbruk samme dag som prøvene ble tatt, og om de hadde symptomer som regnes som typiske for CO-påvirkning: tretthet, hodepine, svimmelhet, søvnløshet, brystsmerter, mavesymptomer. Undersøkelsen omfattet 42 ovnshusarbeidere. 35 hadde hatt plager som kunne tyde på kronisk CO-påvirkning og 12 hadde følt seg uvel i løpet av arbeidsdagen da undersøkelsen fant sted.

I 1977 foretok bedriftslegen en registerering av hjerte- og karsykdommer. Alle menn ansatt i bedriften var med i undersøkelsen, samt de som hadde sluttet etter januar 1949, men som hadde arbeidet der minst 3 år. Det var 740 mann i alt. Resultatet av undersøkelsen førte til at bedriftslegen ga råd til bedriftsledelsen om følgende forhold:

  1. CO-utviklingen i ovnshusene måtte reduseres og bringes under kontroll.
  2. Personer med høyt blodtrykk eller med andre tegn på hjerte- og karlidelser burde ikke arbeide i ovnshusene.
  3. De som arbeidet i ovnshus, burde ikke røke. Røkere burde tilrådes å innstille røkingen, da de var ekstra utsatt utsatt for helseskade
  4. Nye arbeidere i ovnshus måtte på forhånd gjøres oppmerksom på helserisikoen. Helst burde røkere ikke plasseres i ovnshus.

Oscar Engbråten forteller:

Gassen som ble utviklet i ovnshuset var en veldig belastning på lungene. Mange av arbeiderne utviklet astma. Vi lar Oscar Engbråthensom arbeidet skift i over 47 år i ovnshuset, fortelle:

" Jeg hadde astma i mange år, også da jeg slutta. Men den er jeg heldigvis blitt kvitt nå. Det var altså yrkesastma. Det var jo mye gass. Det ble mye gass av kryolitt og alt sånt noe. Det ble ikke mye forandring med hensyn til de skadene. De forsøkte å rette litt på det, med luft og ventilasjon o.l. men det hjalp ikke stort. De fleste i ovnshuset hadde astma, mer eller mindre. Det var hardt. Selv om du hadde den, så måtte du på arbeid. Du kunne ikke skofte for det. Det var jo ikke noe sånt at du kunne gå på sykekassa for hva som helst."

"Det va`kke mange timene du skofta på 45 år?"

"Nei, det kan`kje være mange timene. Jeg kunne gå på jobb og være så klein at jeg måtte stoppe og ta et tak. Og så skulle jeg gå der i ? ja, jeg kan sei`- heile skitten i 8 timer så dårlig som jeg var, for at jeg kunne klare det. Det var jobb, det."

Fagforeningens innsats

I 1950-årene forsøkte fagforeningen ved Nitriden, Elektrokjemisk Arbeiderforening, å få avklart og forebygd astmaplagen, men uten at det kom noe mer ut av det. Foreningen hadde nedsatt en komite i anledning astma-problemet, og forberedte i 1955 en stor undersøkelse som skulle omfatte 80 ansatte. Denne ble også stående i stampe samtidig som foreningen tok fatt på flere arbeidsmiljøproblemer på Nitriden, blant annet støvplagen ved resteknuseren og i elektrodefabrikken. Et hardt tiltrengt ventilasjonsanlegg i ovnshuset og i omformerstasjonen lot også vente på seg. Hele problemkomplekset i ovnshuset ble lagt fram for bedriftsledelsen med forslag om å utvide mannskapsstyrken. Bedriftslegen ved Nitriden la i januar 1956 fram de foreløpige resultatene av astmaundersøkelsen. I utgangspunktet hadde arbeiderne ønsket å trekke inn i undersøkelsen en gruppe med folk som viste symptomer på sykdom. Men bedriftslegen var uvillig og begrunnet det med at gruppen ikke ville være representativ.

En kunne trekke den slutningen av undersøkelsen i 1956 at antall astma-tilfeller hadde økt hos eldre arbeidere. Rapporten ble sendt dr. Bruusgaard ved Arbeidshygienisk Institutt. Astmaproblemet ble ikke løst, og i 1958 mottok astma-komiteen en inntrengende henstilling fra foreningen om å fortsette arbeidet. Det var en altfor viktig sak! Et år senere kom det opp et støvmåleapparat i ovnshuset. Foreningen forlangte ny legeundersøkelse av folkene og at undersøkelsene skulle foregå på diagnosestasjonen og ikke hos bedriftslegen.

Nitriden tok kontakt med Yrkeshygienisk Institutt og startet våren 1962 en omfattende undersøkelse av helseforholdene ved aluminiumsverket. Undersøkelsen var en direkte følge av at arbeiderne i en årrekke hadde klagd over symptomer fra åndedrettsorganene, først og fremt i form av hoste, oppspytt, piping i brystet og åndedrettsbesvær, ofte astmatisk preget. I flere tilfeller hadde symptomene vært så uttalte at det hadde vært nødvendig med overflytting til arbeid utenfor ovnshuset.

Bedriftslegen "dr. Svein Kveim" hadde i samarbeid med den lokale trygdekassa vist at de ansatte på Nitriden hadde 3-4 ganger så stort sykefravær på grunn av diagnosene bronkitt og astma. De ansatte uttrykte engstelse for at fortsatt arbeid i ovnshusene kunne gi varige helseskader.

Kilder:

"Fra en bedriftsleges hverdag ved en elektrometallurgisk bedrift 1948 ? 1978. ved bedriftslege Hallvard Lid."

"En yrkesmedisinsk statistisk utredning fra Arendal Smelteverk for årene 1948-1977"

Interne skriv/korrespondanse mellom bedriftslegen og ledelsen ved Arendal Smelteverk samt brev fra bedriftslegen til forfatteren av 2Trekk av Stokkens historie" Harald Berntsen.

Plakater fra jubileumsutstillinga 2003 på Eydehavn Museet.

Jubileumshefte: "Eydehavn Arbeiderforening 75 år".